Здравствуйте!
Осталось только стенка зуба (внутри пусто) и часть ее шаткая (больно). Скажите мне нужно удалить все эти части оставшиеся? Или штифт на эти что есть поставить?
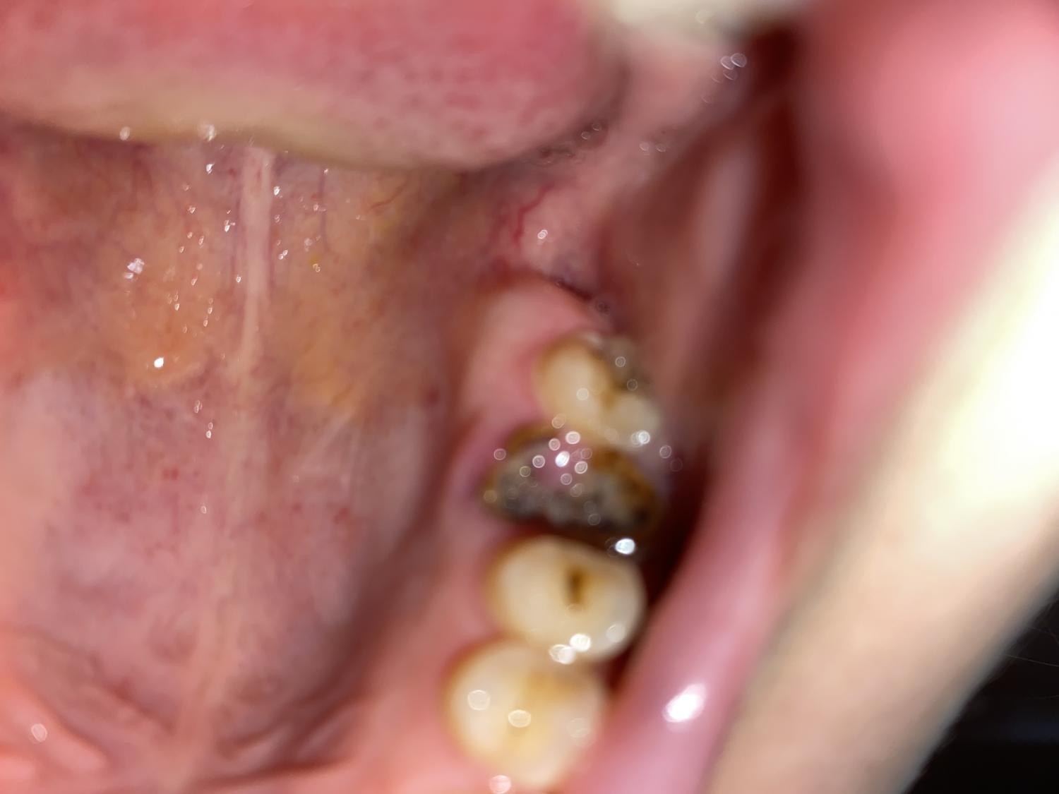
Здравствуйте. Мне 36 лет,возникла проблема с одним из моих зубов, который был восстановлен имплантом несколько лет назад. В последнее время замечаю небольшой дискомфорт и чувствительность при жевании в этой области. Что могло произойти и чем это мне "грозит"? Имплантат внешне выглядит хорошо
Добрый вечер! Нужно на снимке смотреть, всякое может быть. Обратитесь к специалисту.

